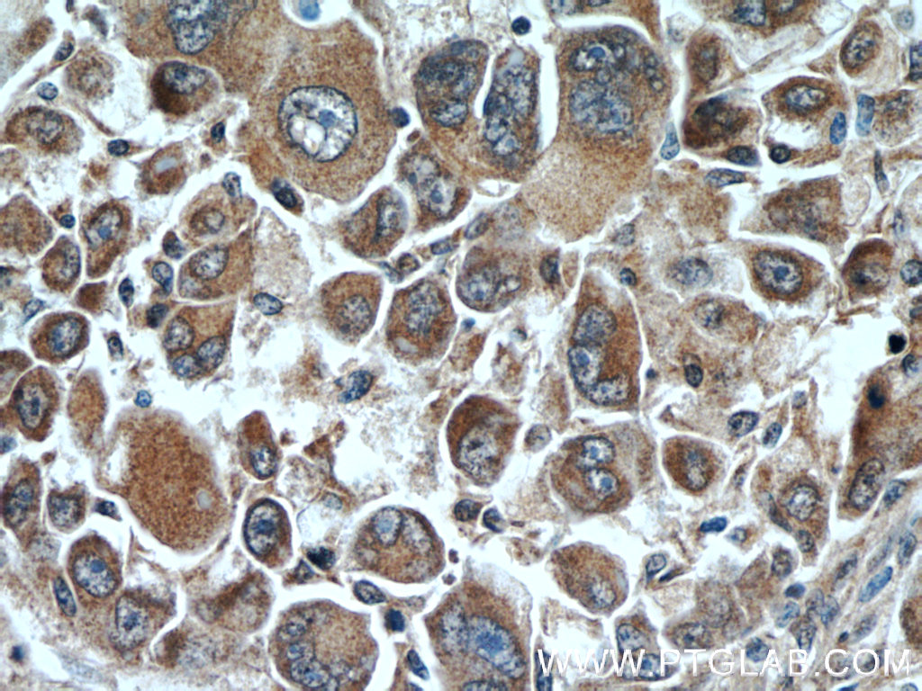
DOPA decarboxylase Polyclonal antibody

https://www.ols-bio.com/web/image/product.template/18951/image_1920?unique=7732d35

DOPA decarboxylase Polyclonal antibody
Storage Temperature: Store at -20°C. Stable for one year after shipment.
Species: human, mouse, rat
Host: Rabbit
Application: WB, IP, IHC, IF,ELISA
GeneID: 1644
Size: 20
UL

145.00 € 145.0 EUR 145.00 €

Not Available For Sale

This combination does not exist.


Internal Reference: 10166-1-AP-20UL

DOPA decarboxylase Polyclonal antibody Storage Temperature: Store at -20°C. Stable for one year after shipment. Species: human, mouse, rat Host: Rabbit Application: WB, IP, IHC, IF,ELISA GeneID: 1644 Size: 20 UL