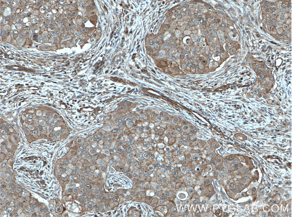
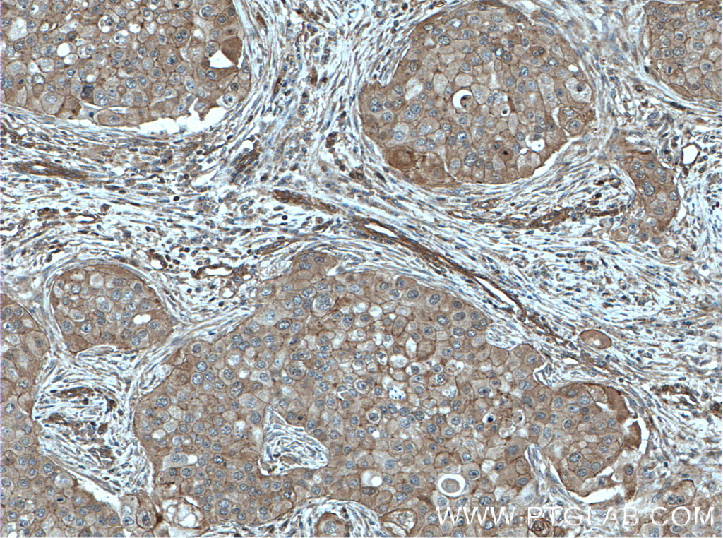
Calmodulin Polyclonal antibody

https://www.ols-bio.com/web/image/product.template/18576/image_1920?unique=185b9d5

Calmodulin Polyclonal antibody
Storage Temperature: Store at -20°C. Stable for one year after shipment.
Species: human, mouse
Host: Rabbit
Application: WB, IP, IHC,ELISA
GeneID: 808
Size: 150
UL

410.00 € 410.0 EUR 410.00 €

Not Available For Sale

This combination does not exist.


Internal Reference: 10541-1-AP-150UL

Calmodulin Polyclonal antibody Storage Temperature: Store at -20°C. Stable for one year after shipment. Species: human, mouse Host: Rabbit Application: WB, IP, IHC,ELISA GeneID: 808 Size: 150 UL