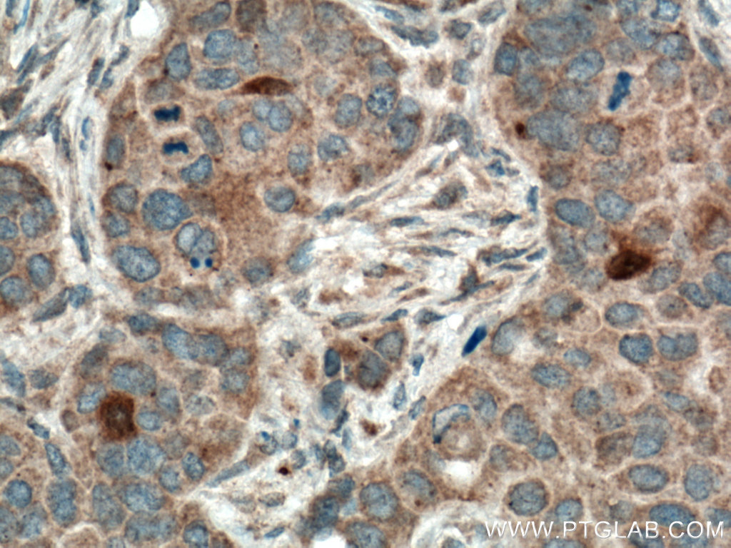
THRSP Polyclonal antibody

https://www.ols-bio.com/web/image/product.template/25613/image_1920?unique=a37b535

THRSP Polyclonal antibody
Storage Temperature: Store at -20°C. Stable for one year after shipment.
Species: human, mouse, rat
Host: Rabbit
Application: WB, IP, IHC,ELISA
GeneID: 7069
Size: 150
UL

410.00 € 410.0 EUR 410.00 €

Not Available For Sale

This combination does not exist.


Internal Reference: 13054-1-AP-150UL

THRSP Polyclonal antibody Storage Temperature: Store at -20°C. Stable for one year after shipment. Species: human, mouse, rat Host: Rabbit Application: WB, IP, IHC,ELISA GeneID: 7069 Size: 150 UL