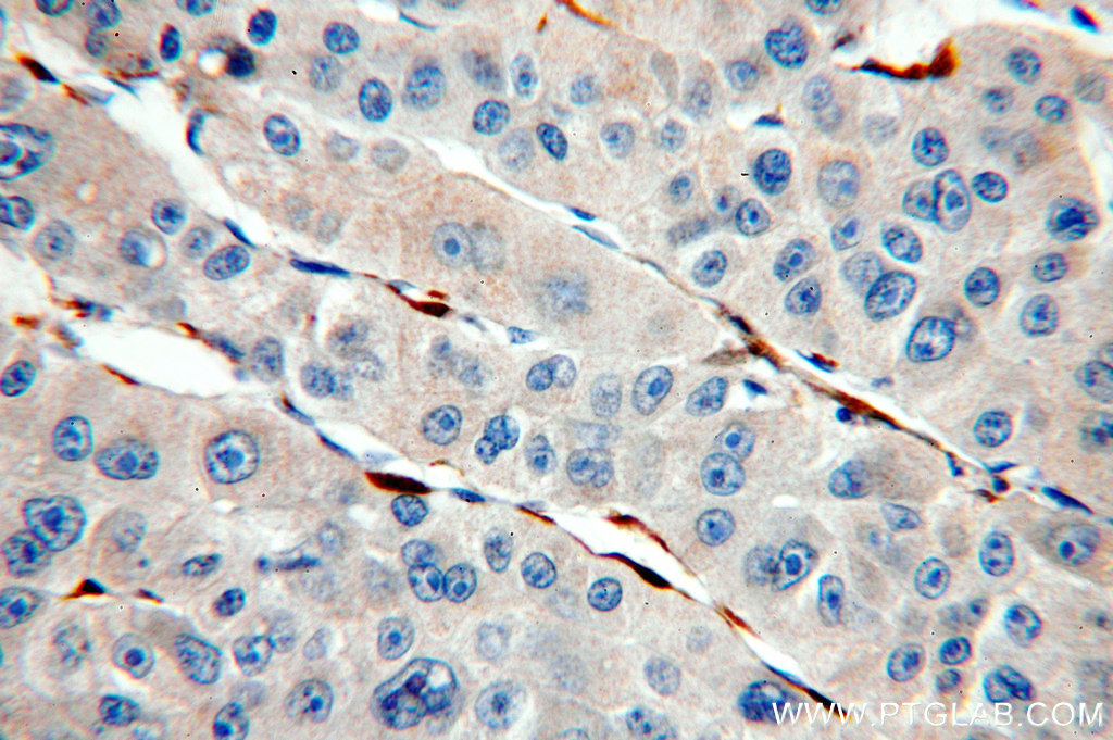
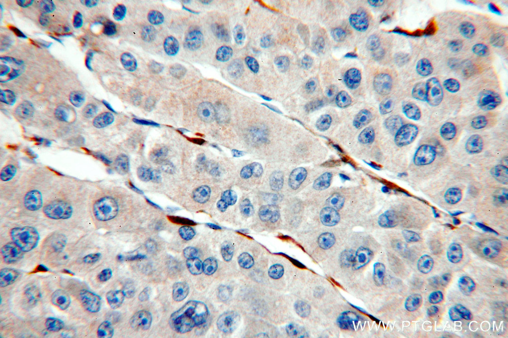
Cytoglobin Polyclonal antibody

https://www.ols-bio.com/web/image/product.template/25998/image_1920?unique=48044c6

Cytoglobin Polyclonal antibody
Storage Temperature: Store at -20°C. Stable for one year after shipment.
Species: human, mouse, rat
Host: Rabbit
Application: WB, IHC, IF,ELISA
GeneID: 114757
Size: 20
UL

145.00 € 145.0 EUR 145.00 €

Not Available For Sale

This combination does not exist.


Internal Reference: 13317-1-AP-20UL

Cytoglobin Polyclonal antibody Storage Temperature: Store at -20°C. Stable for one year after shipment. Species: human, mouse, rat Host: Rabbit Application: WB, IHC, IF,ELISA GeneID: 114757 Size: 20 UL