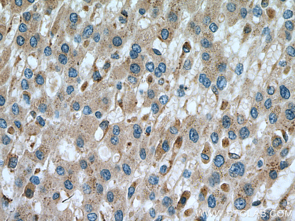
Alpha Galactosidase A Polyclonal antibody

https://www.ols-bio.com/web/image/product.template/30102/image_1920?unique=e3d513c

Alpha Galactosidase A Polyclonal antibody
Storage Temperature: Store at -20°C. Stable for one year after shipment.
Species: human, mouse, rat
Host: Rabbit
Application: WB, IP, IHC,ELISA
GeneID: 2717
Size: 150
UL

410.00 € 410.0 EUR 410.00 €

Not Available For Sale

This combination does not exist.


Internal Reference: 15428-1-AP-150UL

Alpha Galactosidase A Polyclonal antibody Storage Temperature: Store at -20°C. Stable for one year after shipment. Species: human, mouse, rat Host: Rabbit Application: WB, IP, IHC,ELISA GeneID: 2717 Size: 150 UL