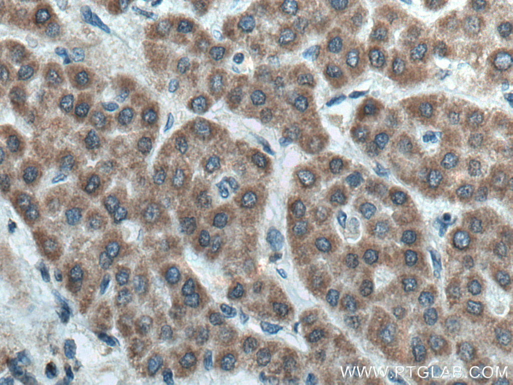
FDXR Polyclonal antibody

https://www.ols-bio.com/web/image/product.template/30322/image_1920?unique=7d4e8f1

FDXR Polyclonal antibody
Storage Temperature: Store at -20°C. Stable for one year after shipment.
Species: human, mouse, pig, rat
Host: Rabbit
Application: WB, IHC,ELISA
GeneID: 2232
Size: 150
UL

410.00 € 410.0 EUR 410.00 €

Not Available For Sale

This combination does not exist.


Internal Reference: 15584-1-AP-150UL

FDXR Polyclonal antibody Storage Temperature: Store at -20°C. Stable for one year after shipment. Species: human, mouse, pig, rat Host: Rabbit Application: WB, IHC,ELISA GeneID: 2232 Size: 150 UL