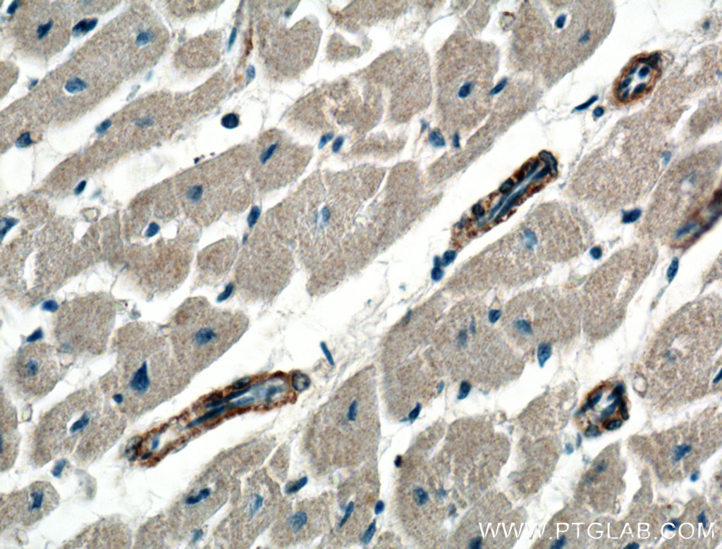
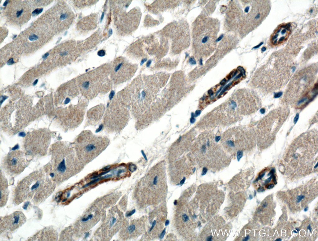
PRKG1 Polyclonal antibody

https://www.ols-bio.com/web/image/product.template/37193/image_1920?unique=3f76024

PRKG1 Polyclonal antibody
Storage Temperature: Store at -20°C. Stable for one year after shipment.
Species: human, mouse, rat
Host: Rabbit
Application: WB, IP, IHC,ELISA
GeneID: 5592
Size: 150
UL

410.00 € 410.0 EUR 410.00 €

Not Available For Sale

This combination does not exist.


Internal Reference: 21646-1-AP-150UL

PRKG1 Polyclonal antibody Storage Temperature: Store at -20°C. Stable for one year after shipment. Species: human, mouse, rat Host: Rabbit Application: WB, IP, IHC,ELISA GeneID: 5592 Size: 150 UL