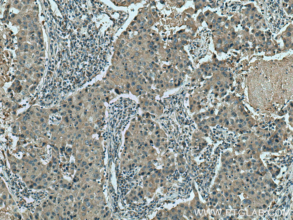
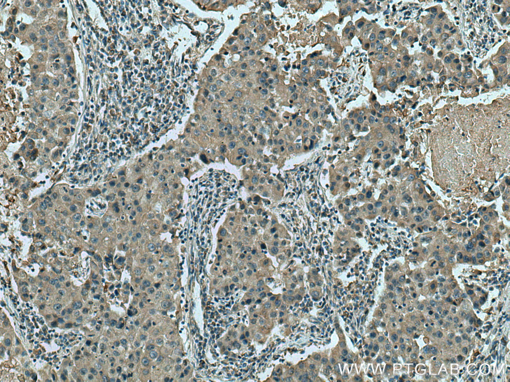
Hexokinase 2 Polyclonal antibody

https://www.ols-bio.com/web/image/product.template/37513/image_1920?unique=3836504

Hexokinase 2 Polyclonal antibody
Storage Temperature: Store at -20°C. Stable for one year after shipment.
Species: human, mouse, pig, rat
Host: Rabbit
Application: WB, IP, IHC, IF, FC, CoIP,ELISA
GeneID: 3099
Size: 20
UL

145.00 € 145.0 EUR 145.00 €

Not Available For Sale

This combination does not exist.


Internal Reference: 22029-1-AP-20UL

Hexokinase 2 Polyclonal antibody Storage Temperature: Store at -20°C. Stable for one year after shipment. Species: human, mouse, pig, rat Host: Rabbit Application: WB, IP, IHC, IF, FC, CoIP,ELISA GeneID: 3099 Size: 20 UL