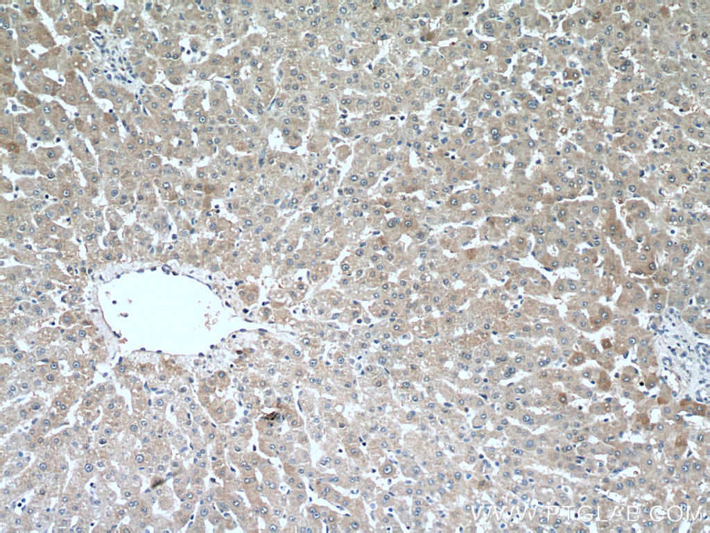
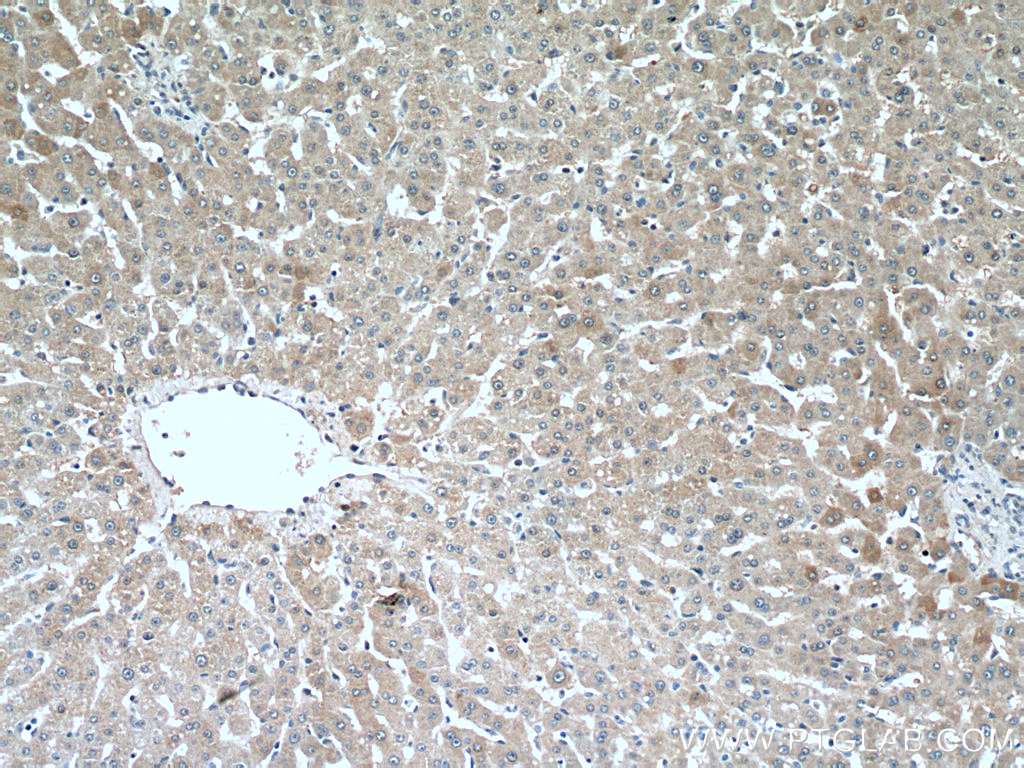
CRP Polyclonal antibody

https://www.ols-bio.com/web/image/product.template/38650/image_1920?unique=48044c6

CRP Polyclonal antibody
Storage Temperature: Store at -20°C. Stable for one year after shipment.
Species: human, mouse
Host: Rabbit
Application: WB, IHC,ELISA
GeneID: 1401
Size: 20
UL

145.00 € 145.0 EUR 145.00 €

Not Available For Sale

This combination does not exist.


Internal Reference: 24175-1-AP-20UL

CRP Polyclonal antibody Storage Temperature: Store at -20°C. Stable for one year after shipment. Species: human, mouse Host: Rabbit Application: WB, IHC,ELISA GeneID: 1401 Size: 20 UL