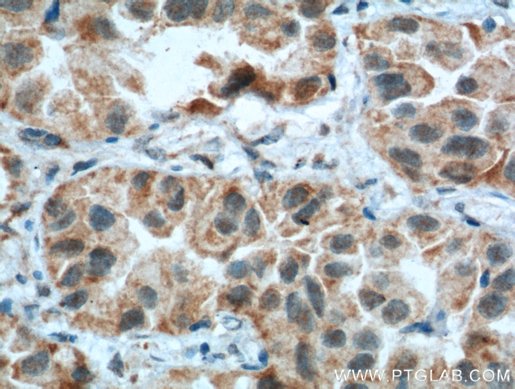
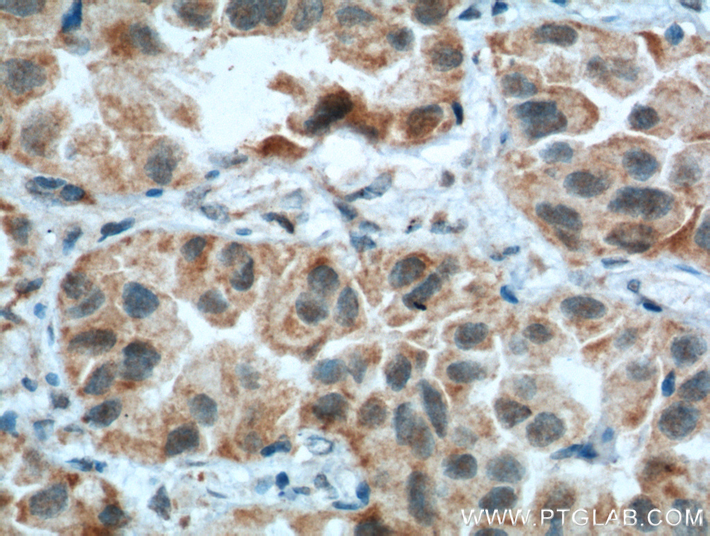
CSPG4,NG2 Polyclonal antibody

https://www.ols-bio.com/web/image/product.template/42762/image_1920?unique=4ee123f

CSPG4,NG2 Polyclonal antibody
Storage Temperature: Store at -20°C.
Species: human, mouse, rat
Host: Rabbit
Application: WB, IHC, IF,ELISA
GeneID: 1464
Size: 150
UL

482.86 482.86 USD 482.86

Not Available For Sale

This combination does not exist.


Internal Reference: 55027-1-AP-150UL

CSPG4,NG2 Polyclonal antibody Storage Temperature: Store at -20°C. Species: human, mouse, rat Host: Rabbit Application: WB, IHC, IF,ELISA GeneID: 1464 Size: 150 UL