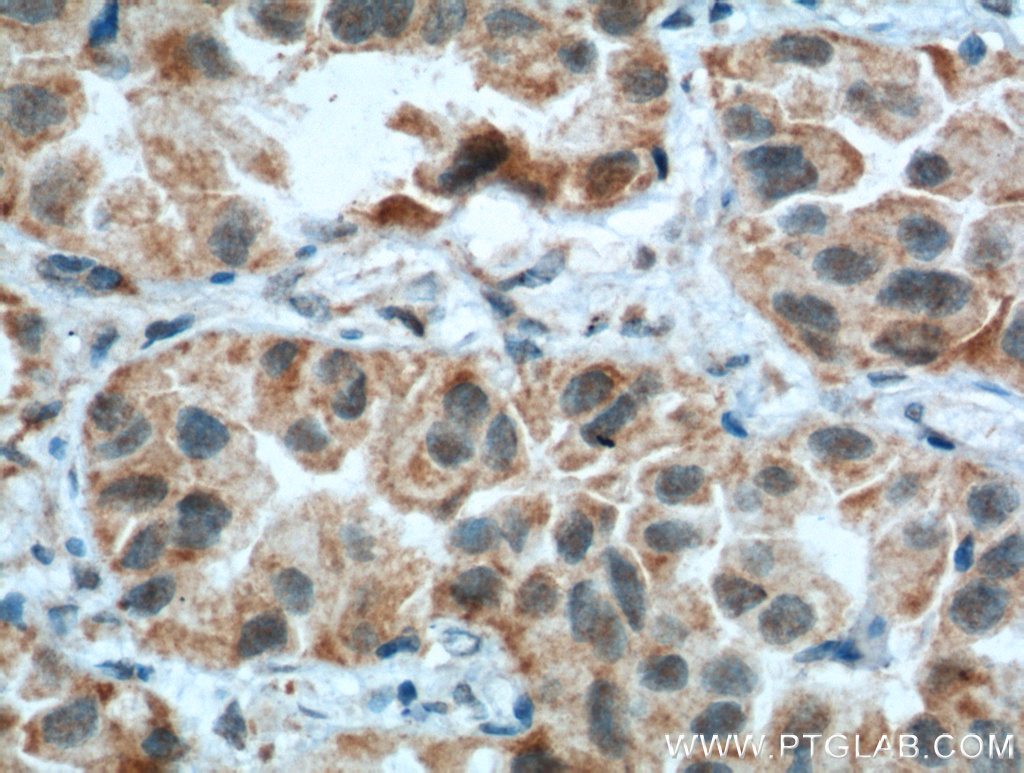
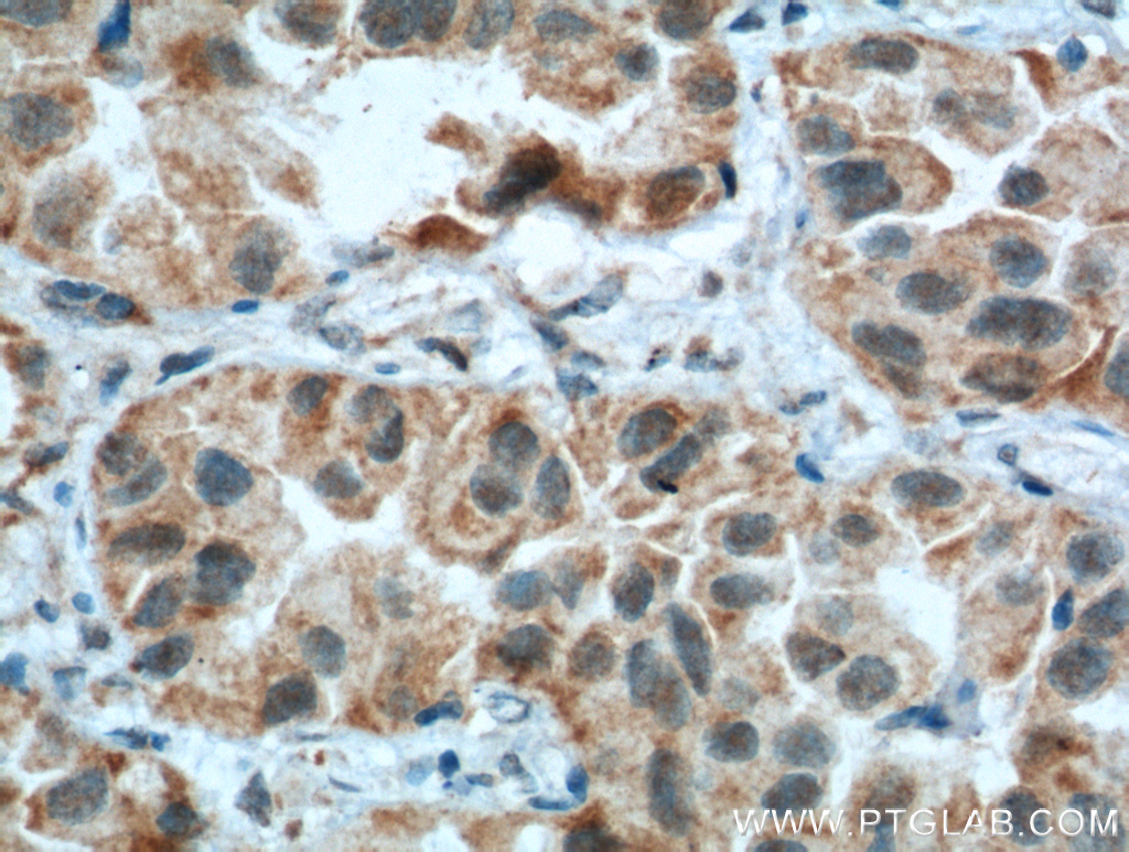
CSPG4,NG2 Polyclonal antibody

https://www.ols-bio.com/web/image/product.template/42763/image_1920?unique=48044c6

CSPG4,NG2 Polyclonal antibody
Storage Temperature: Store at -20°C.
Species: human, mouse, rat
Host: Rabbit
Application: WB, IHC, IF,ELISA
GeneID: 1464
Size: 20
UL

145.00 € 145.0 EUR 145.00 €

Not Available For Sale

This combination does not exist.


Internal Reference: 55027-1-AP-20UL

CSPG4,NG2 Polyclonal antibody Storage Temperature: Store at -20°C. Species: human, mouse, rat Host: Rabbit Application: WB, IHC, IF,ELISA GeneID: 1464 Size: 20 UL