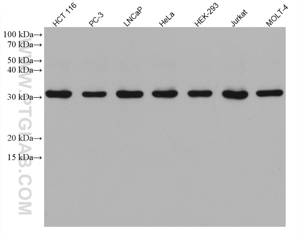
AES Monoclonal antibody

https://www.ols-bio.com/web/image/product.template/47223/image_1920?unique=e3d513c

AES Monoclonal antibody
Storage Temperature: Store at -20°C.
Species: human, mouse, rat
Host: Mouse
Application: WB,ELISA
GeneID: 166
Size: 150
UL

410.00 € 410.0 EUR 410.00 €

Not Available For Sale

This combination does not exist.


Internal Reference: 67869-1-IG-150UL

AES Monoclonal antibody Storage Temperature: Store at -20°C. Species: human, mouse, rat Host: Mouse Application: WB,ELISA GeneID: 166 Size: 150 UL