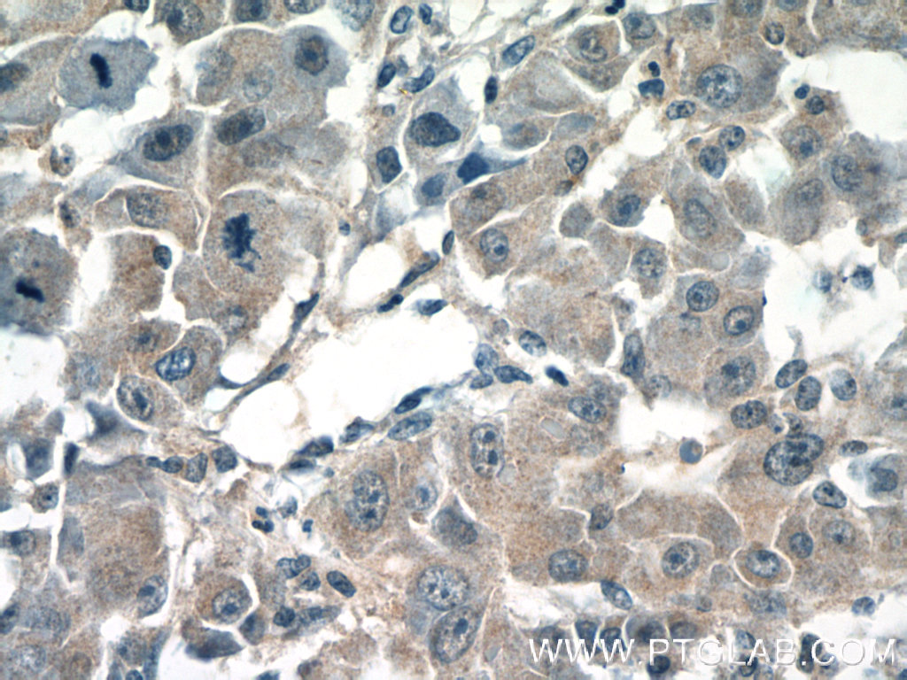
CPEB1 Polyclonal antibody

https://www.ols-bio.com/web/image/product.template/25938/image_1920?unique=48044c6

CPEB1 Polyclonal antibody
Storage Temperature: Store at -20°C. Stable for one year after shipment.
Species: asterina pectinifera, human, mouse, rat
Host: Rabbit
Application: WB, RIP, IP, IHC, IF,ELISA
GeneID: 64506
Size: 20
UL

145.00 € 145.0 EUR 145.00 €

Not Available For Sale

This combination does not exist.


Internal Reference: 13274-1-AP-20UL

CPEB1 Polyclonal antibody Storage Temperature: Store at -20°C. Stable for one year after shipment. Species: asterina pectinifera, human, mouse, rat Host: Rabbit Application: WB, RIP, IP, IHC, IF,ELISA GeneID: 64506 Size: 20 UL