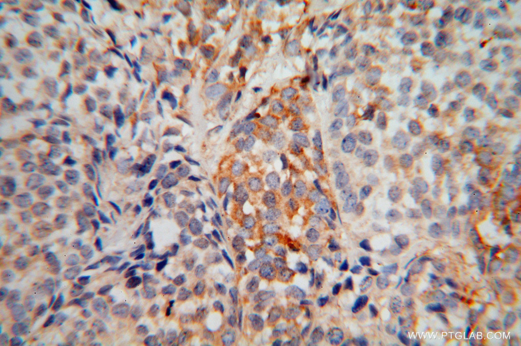
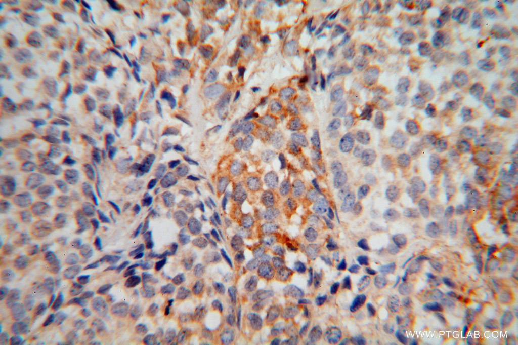
EXOSC5 Polyclonal antibody

https://www.ols-bio.com/web/image/product.template/30388/image_1920?unique=aa84b1a

EXOSC5 Polyclonal antibody
Storage Temperature: Store at -20°C. Stable for one year after shipment.
Species: human, rat
Host: Rabbit
Application: WB, IP, IHC,ELISA
GeneID: 56915
Size: 150
UL

479.99 479.99 USD 479.99

Not Available For Sale

This combination does not exist.


Internal Reference: 15627-1-AP-150UL

EXOSC5 Polyclonal antibody Storage Temperature: Store at -20°C. Stable for one year after shipment. Species: human, rat Host: Rabbit Application: WB, IP, IHC,ELISA GeneID: 56915 Size: 150 UL