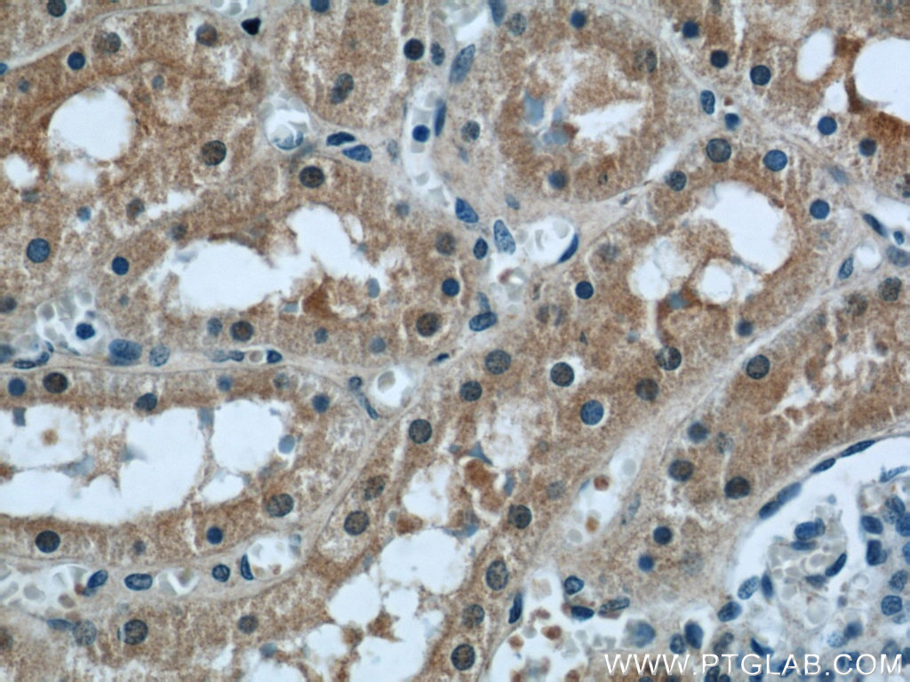
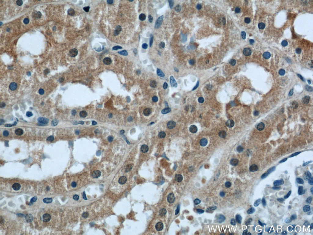
PPP2R1A Polyclonal antibody

https://www.ols-bio.com/web/image/product.template/32768/image_1920?unique=aa84b1a

PPP2R1A Polyclonal antibody
Storage Temperature: Store at -20°C. Stable for one year after shipment.
Species: human, mouse, rat
Host: Rabbit
Application: WB, IP, IHC,ELISA
GeneID: 5518
Size: 150
UL

This product has no valid combination.


Internal Reference: 15882-1-AP-150UL

PPP2R1A Polyclonal antibody Storage Temperature: Store at -20°C. Stable for one year after shipment. Species: human, mouse, rat Host: Rabbit Application: WB, IP, IHC,ELISA GeneID: 5518 Size: 150 UL