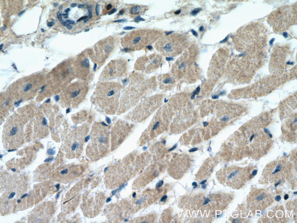
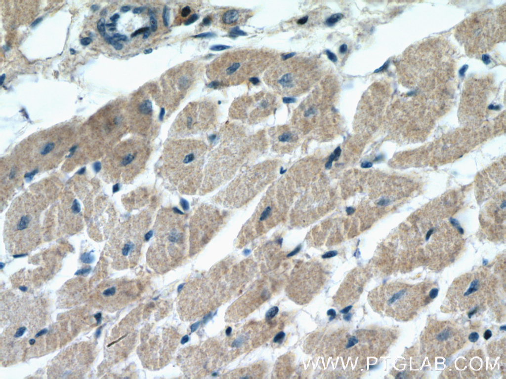
BNIP1 Polyclonal antibody

https://www.ols-bio.com/web/image/product.template/31878/image_1920?unique=aa84b1a

BNIP1 Polyclonal antibody
Storage Temperature: Store at -20°C. Stable for one year after shipment.
Species: human, mouse, rat
Host: Rabbit
Application: WB, IP, IHC, IF,ELISA
GeneID: 662
Size: 20
UL

This product has no valid combination.


Internal Reference: 15964-1-AP-20UL

BNIP1 Polyclonal antibody Storage Temperature: Store at -20°C. Stable for one year after shipment. Species: human, mouse, rat Host: Rabbit Application: WB, IP, IHC, IF,ELISA GeneID: 662 Size: 20 UL