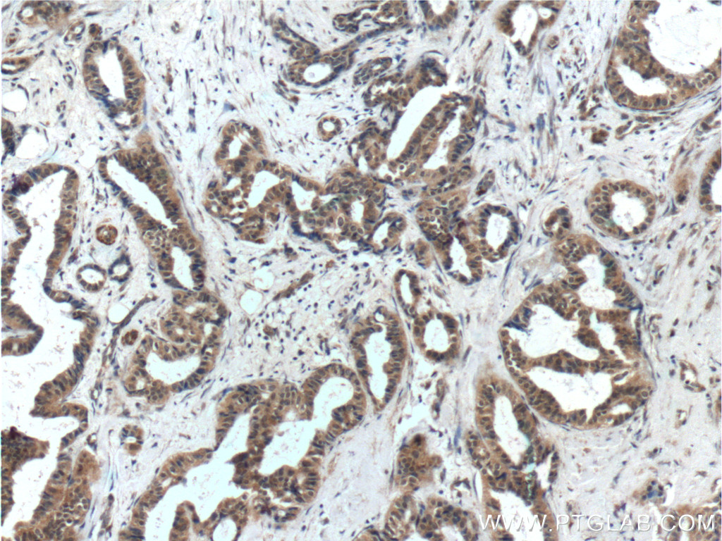
WDFY3 / ALFY Polyclonal antibody

https://www.ols-bio.com/web/image/product.template/39626/image_1920?unique=c09709a

WDFY3 / ALFY Polyclonal antibody
Storage Temperature: Store at -20°C. Stable for one year after shipment.
Species: human
Host: Rabbit
Application: IHC,ELISA
GeneID: 23001
Size: 20
UL

145.00 € 145.0 EUR 145.00 €

Not Available For Sale

This combination does not exist.


Internal Reference: 25134-1-AP-20UL

WDFY3 / ALFY Polyclonal antibody Storage Temperature: Store at -20°C. Stable for one year after shipment. Species: human Host: Rabbit Application: IHC,ELISA GeneID: 23001 Size: 20 UL